- 12.Kidney and Urinary System
- (1)Minimal change disease
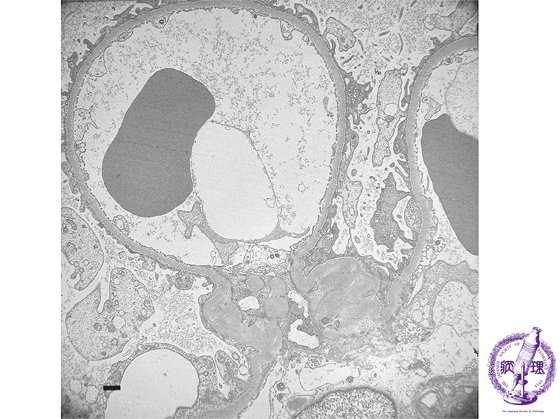
Electron microscopic findings: The pedicles of glomerular podocytes show fusion (red arrow).
Click the image to see the enlarged image.
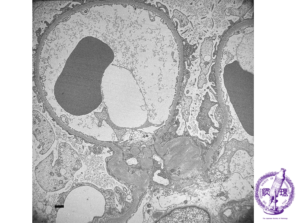
Electron microscopic findings: The pedicles of glomerular podocytes show fusion (red arrow).
Click the image to see the enlarged image.