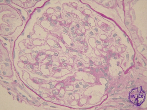
Microscopic findings (PAS, high power view): The basement membrane is not thickened and contains no deposits.

Click the image to see the enlarged image.

  • There is no guidance by arrows.