- 12.Kidney and Urinary System
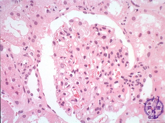
- ★(4)IgA nephropathy
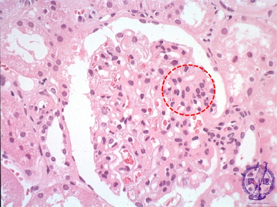
Microscopic findings (HE, high power view): Slight expansion of the mesangium is noted (area within red dotted line).
Click the image to see the enlarged image.
Microscopic findings (HE, high power view): Slight expansion of the mesangium is noted (area within red dotted line).
Click the image to see the enlarged image.