- 12.Kidney and Urinary System
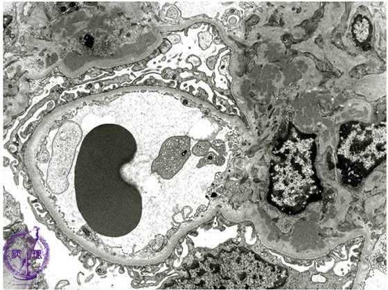
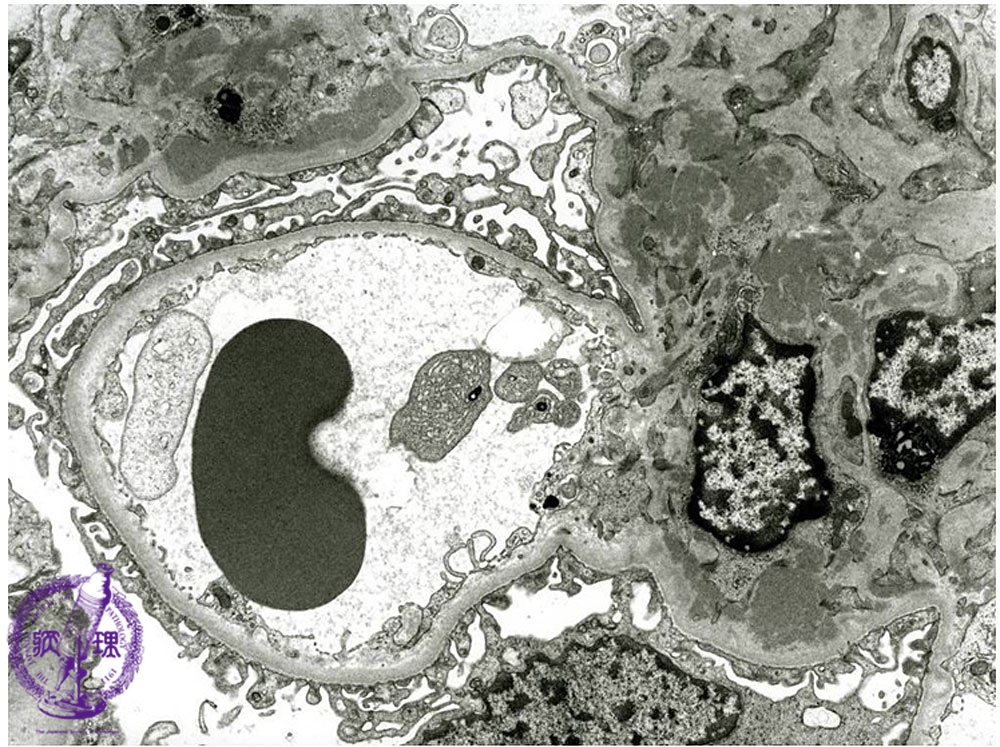
- ★(4)IgA nephropathy
Microscopic findings (electron microscopy): In the mesangium (yellow dotted line), there is are electron dense deposits (red dotted line). The basement membrane is not thickened (red arrows).
Click the image to see the enlarged image.















