- 12.Kidney and Urinary System
- ★(4)IgA nephropathy
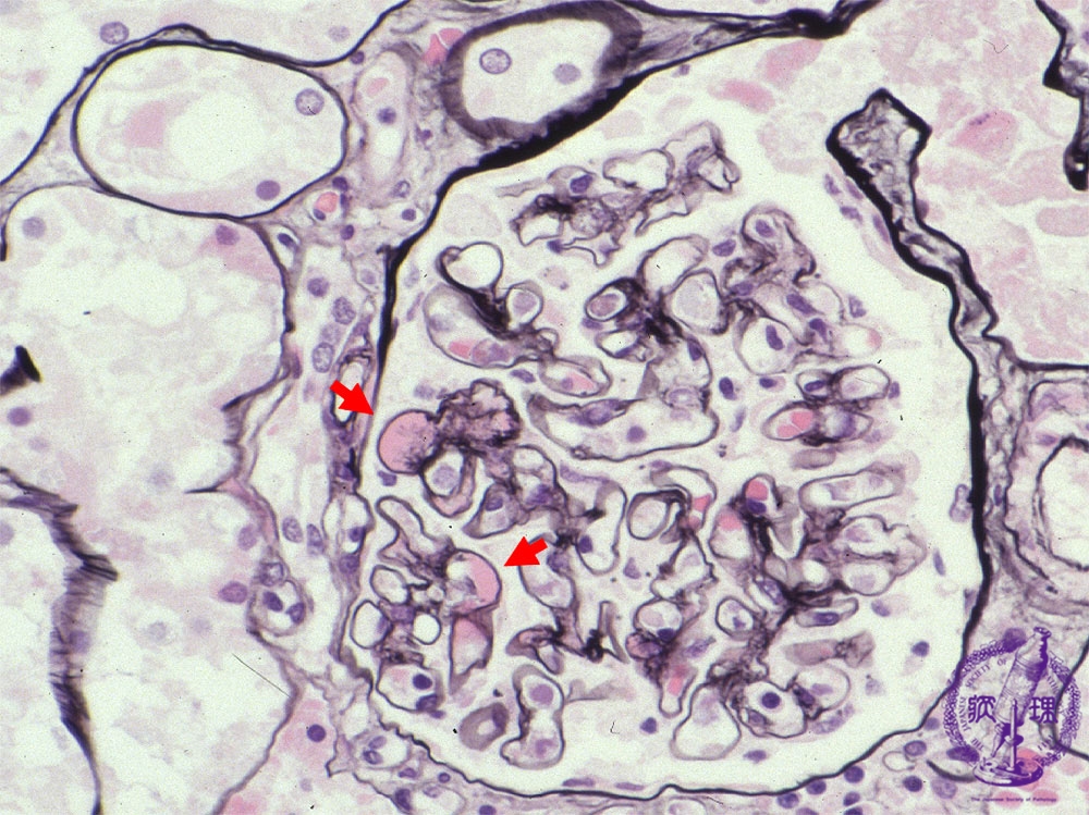
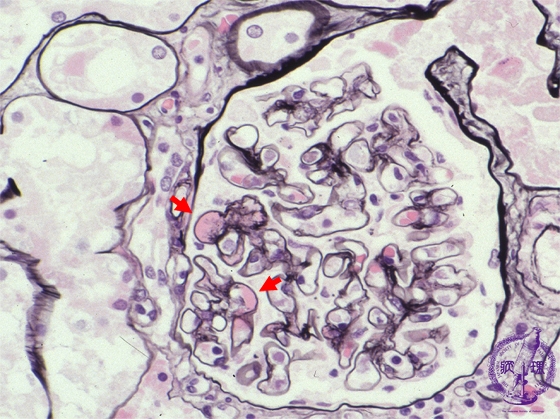
Microscopic findings ( PAM, high power view): In the mesangium, there are hemispheric deposits (red arrows) corresponding to IgA deposition.
Click the image to see the enlarged image.
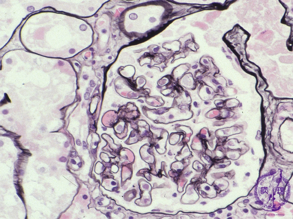
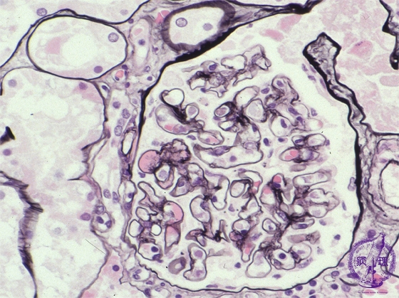
Microscopic findings ( PAM, high power view): In the mesangium, there are hemispheric deposits (red arrows) corresponding to IgA deposition.
Click the image to see the enlarged image.