- 12.Kidney and Urinary System
- ★(4)IgA nephropathy
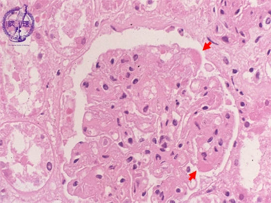
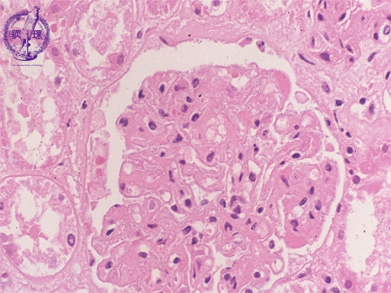
Microscopic findings (HE, high power view): Note the hemispheric shaped eosinophilic glomerular deposits (red arrows).
Click the image to see the enlarged image.
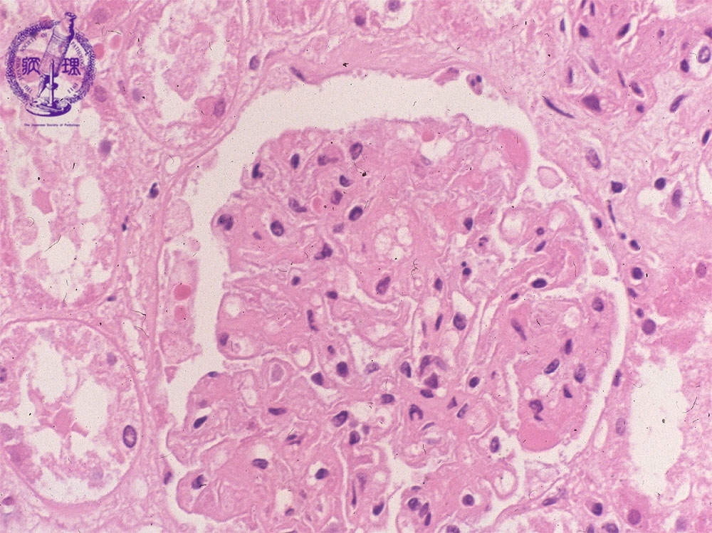
Microscopic findings (HE, high power view): Note the hemispheric shaped eosinophilic glomerular deposits (red arrows).
Click the image to see the enlarged image.