- 12.Kidney and Urinary System
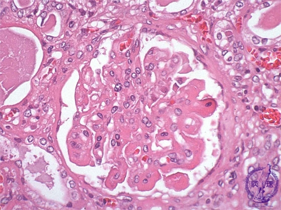
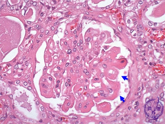
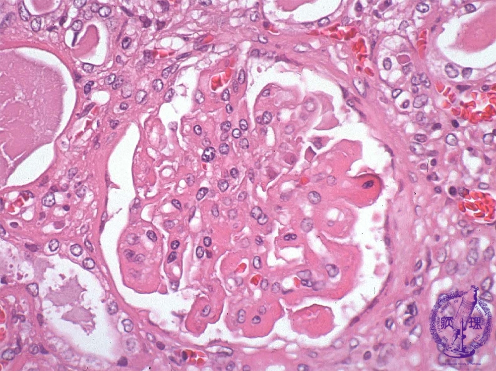
- (6)Lupus Glomerulonephritis
Microscopic findings ( HE, high power view): The basement membrane is markedly thickened and the classic wire-loop lesion is seen (blue arrows). There is focal mesangial cell proliferation.
Click the image to see the enlarged image.














