- 12.Kidney and Urinary System
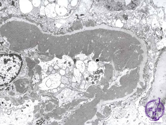
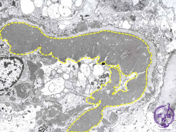
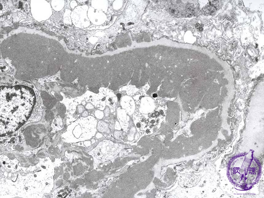
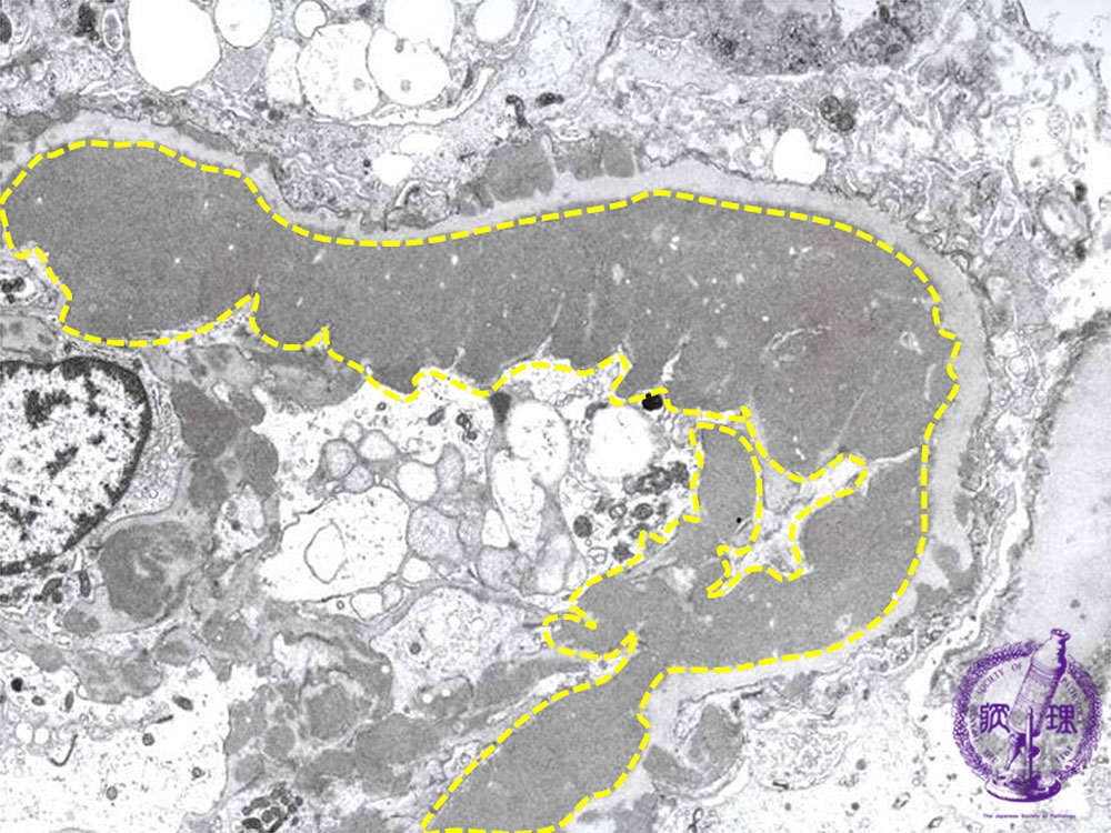
- (6)Lupus Glomerulonephritis
Microscopic findings (electron microscopy): There are electron dense subendothelial deposits (yellow dotted line) which correspond to the wire-loop lesion.
Click the image to see the enlarged image.














