- 12.Kidney and Urinary System
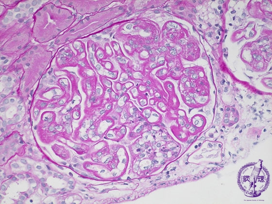
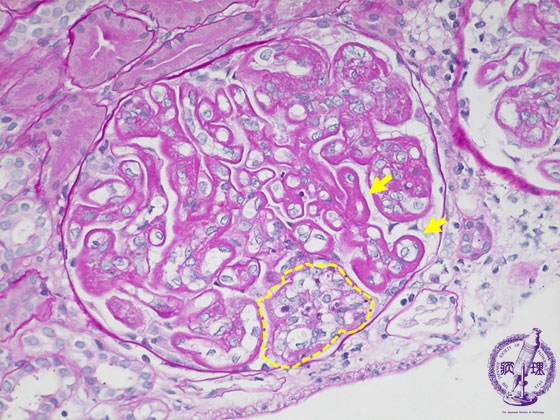
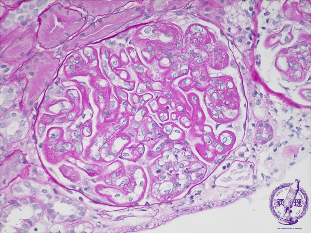
- (6)Lupus Glomerulonephritis
Microscopic findings ( PAS, high power view): The basement membrane is markedly thickened and has a wire-loop appearance (yellow arrows). An endocapillary cellular proliferation containing neutrophil aggregates is focally observed (yellow dotted line).
Click the image to see the enlarged image.














