- 12.Kidney and Urinary System
- (6)Lupus Glomerulonephritis
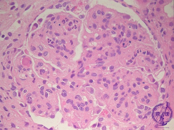
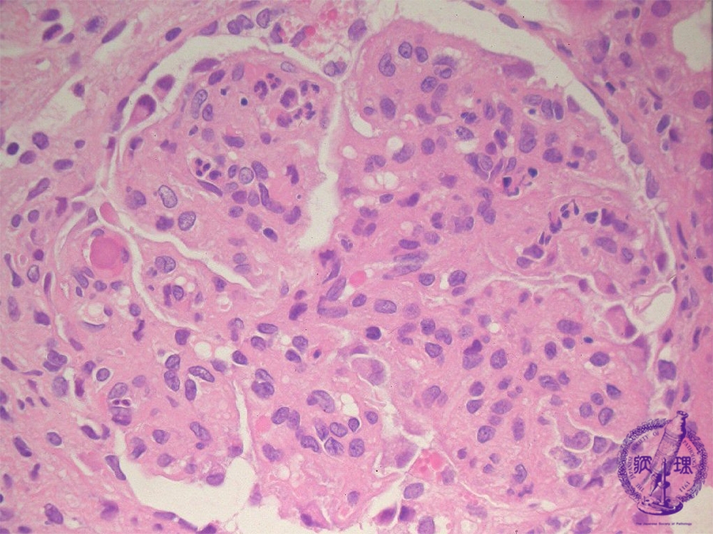
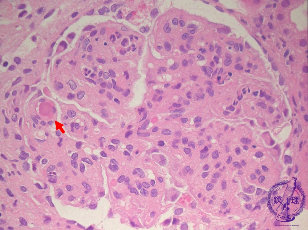
Microscopic findings ( HE, high power view): Lupus nephritis may demonstrate various morphologies; in this picture, the changes are reminiscent of those in membranoproliferative glomerulonephritis. Focally, a hematoxylin body is seen (red arrow).
Click the image to see the enlarged image.














