- 12.Kidney and Urinary System
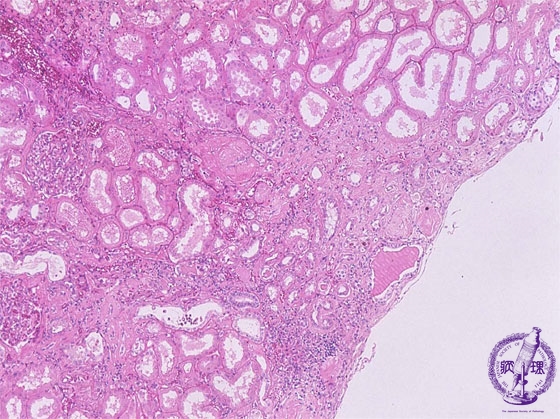
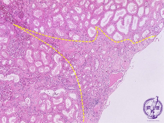
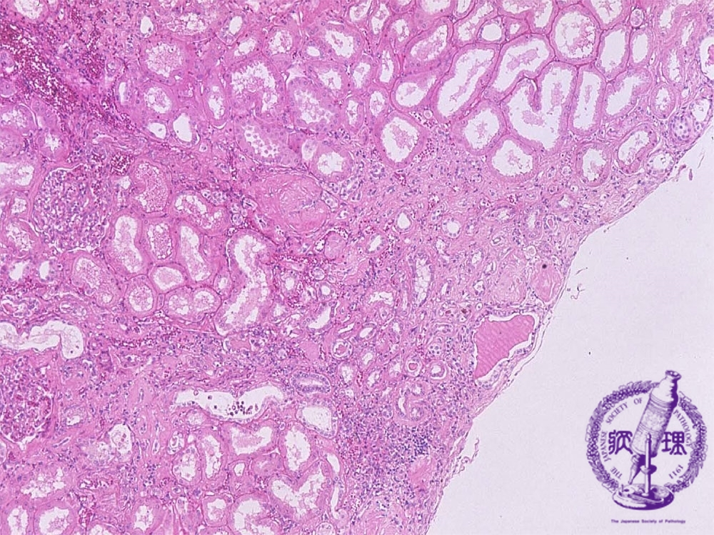
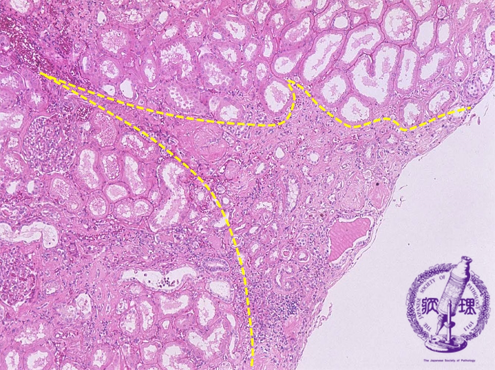
- ★(10)Nephrosclerosis(benign nephrosclerosis)
Microscopic image (HE, mid-power): The cortex shows wedge-shaped atrophy (yellow dotted line) with scar and a mononuclear cell infiltrate.
Click the image to see the enlarged image.
















