- 12.Kidney and Urinary System
- ★(10)Nephrosclerosis(benign nephrosclerosis)
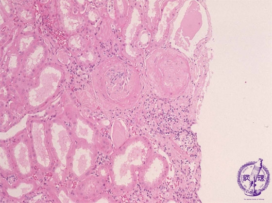
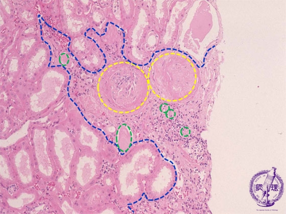
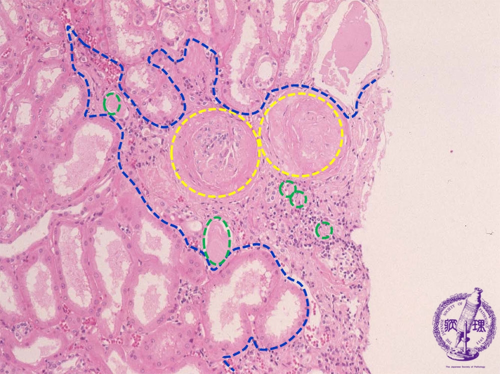
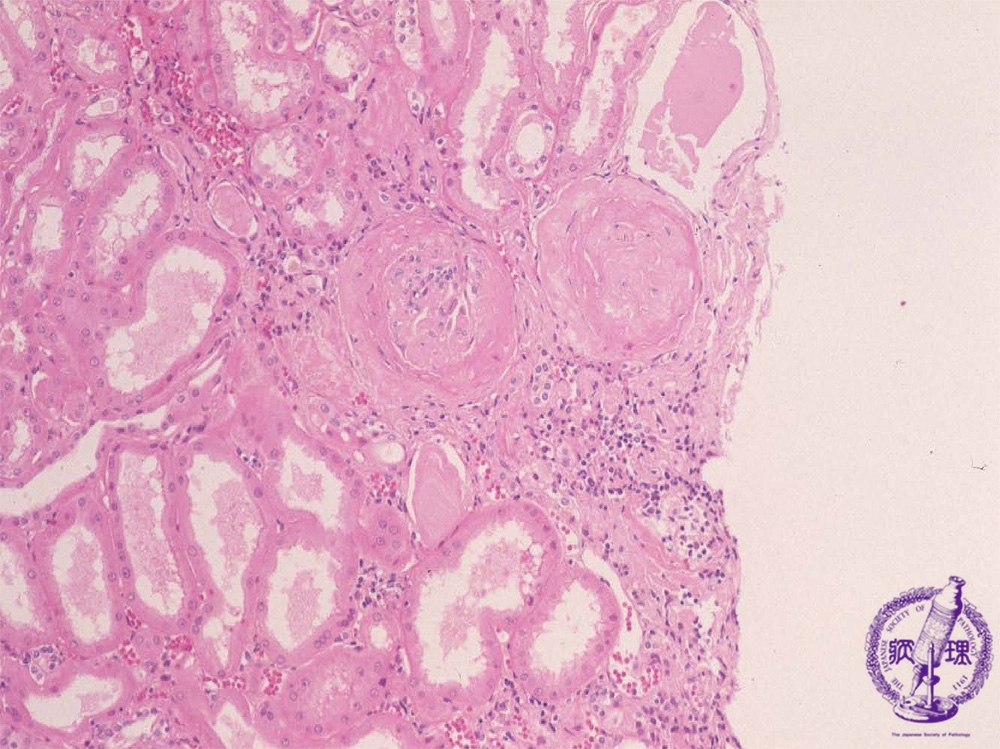
Microscopic findings (HE, middle power view): The wedge-shaped compressed region (blue dotted line) shows sclerosis of the glomeruli (yellow dotted lines) and atrophy of the tubules (green dotted lines).
Click the image to see the enlarged image.
















