- 12.Kidney and Urinary System
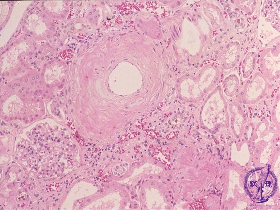
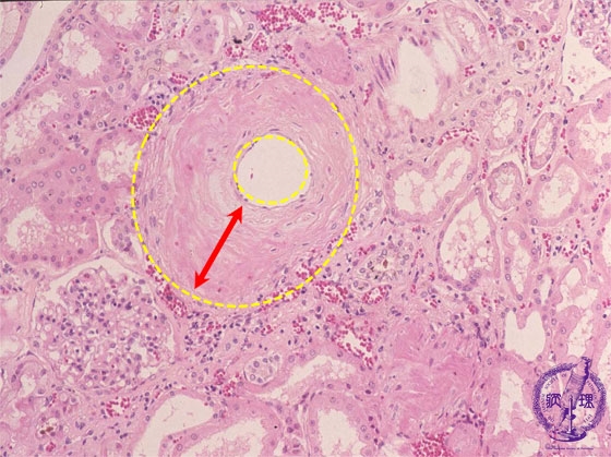
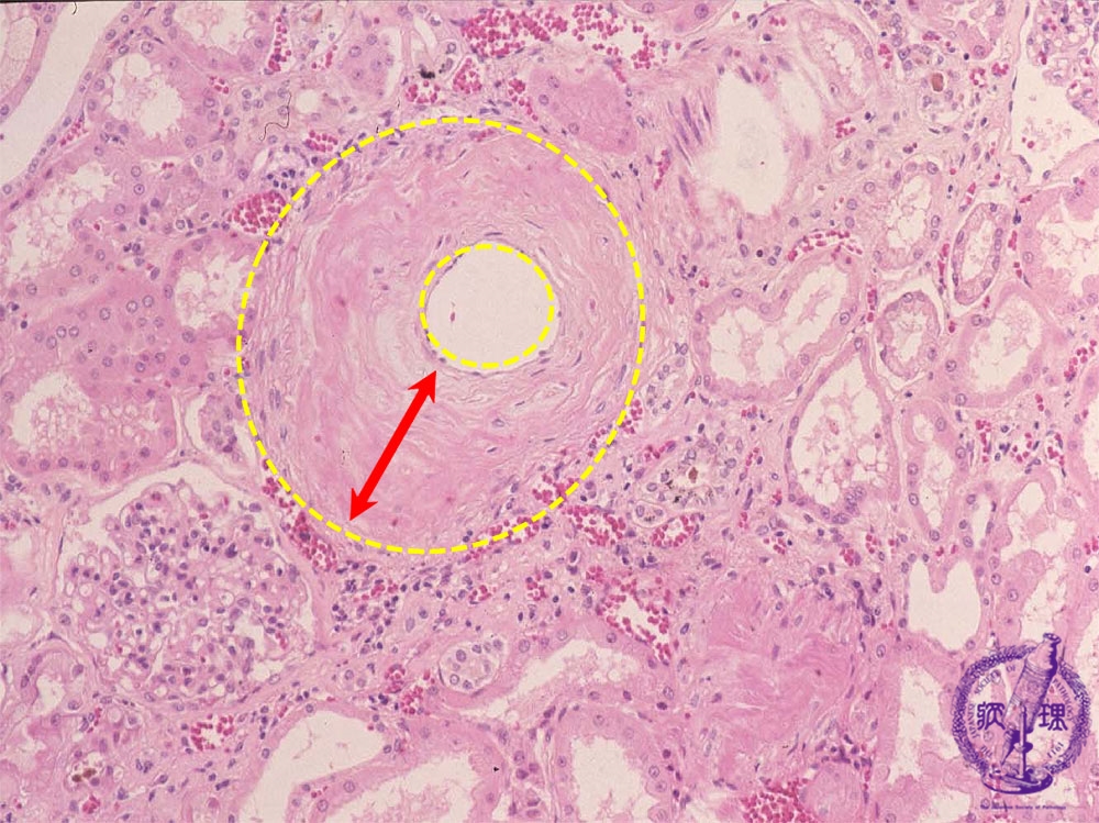
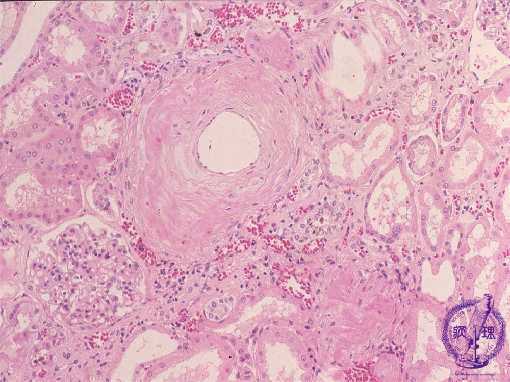
- ★(10)Nephrosclerosis(benign nephrosclerosis)
Microscopic findings (HE, middle power view):Interlobular arterial walls showed thickening and sclerosis (yellow dotted lines, red arrow).
Click the image to see the enlarged image.
















