- 12.Kidney and Urinary System
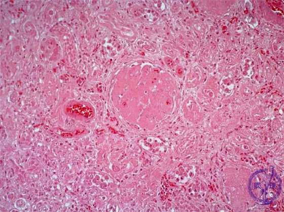
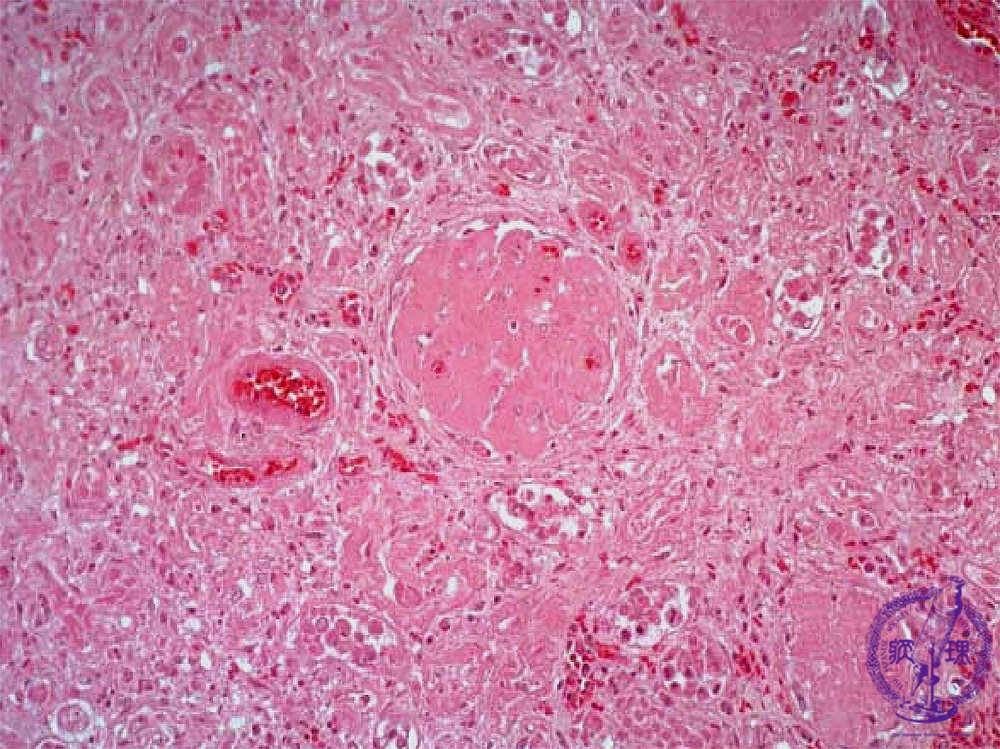
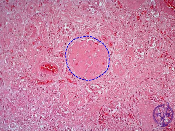
- ★(10)Nephrosclerosis(malignant nephrosclerosis)
Microscopic findings (HE, middle power view): The glomerulus shows fibrinoid necrosis (blue dotted line).
Click the image to see the enlarged image.
Microscopic findings (HE, middle power view): The glomerulus shows fibrinoid necrosis (blue dotted line).
Click the image to see the enlarged image.