- 12.Kidney and Urinary System
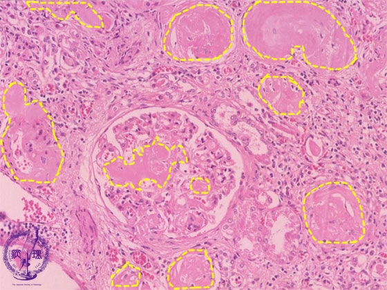
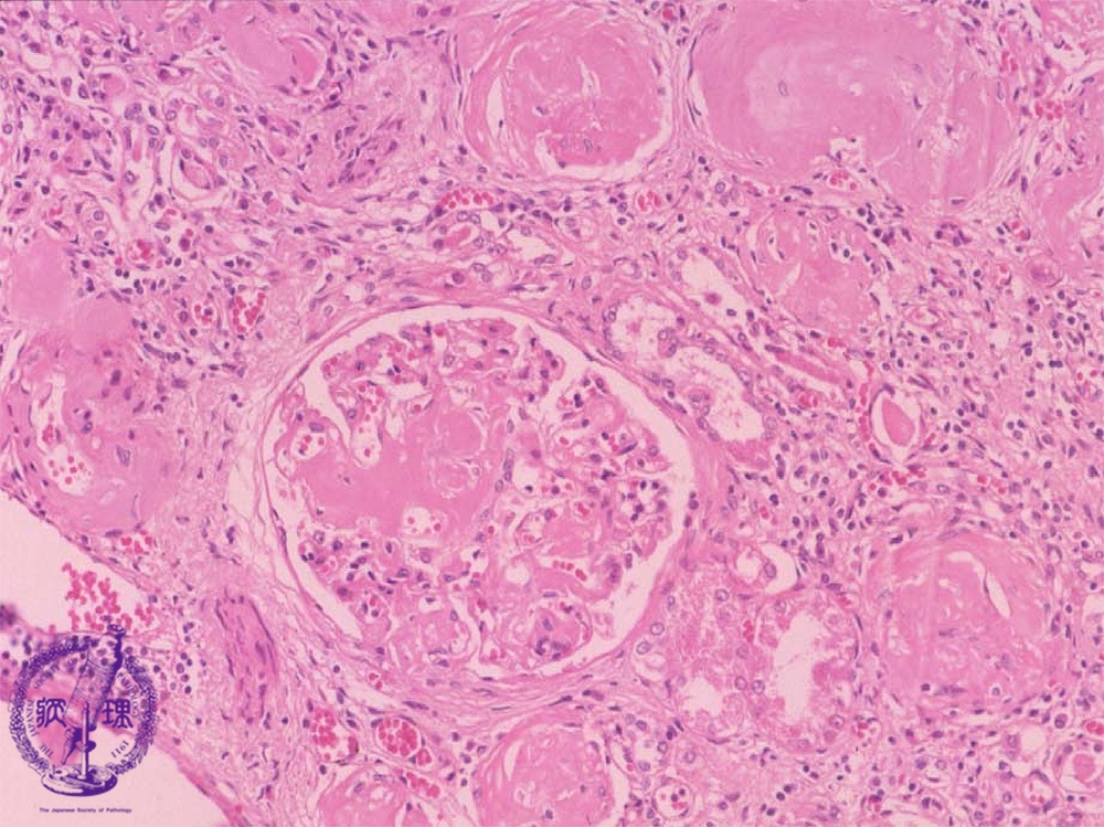
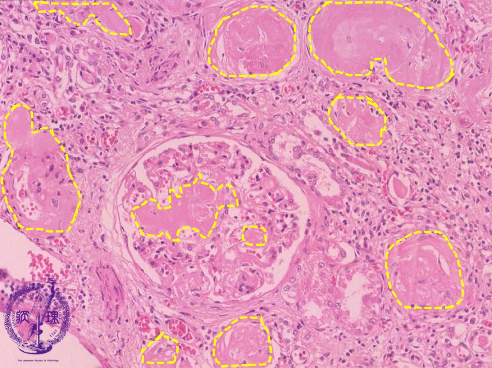
- ★(15)Renal amyloidosis
Microscopic findings (HE, middle power view):Eosinophilic and homogenous substance (amyloid) is deposited in the glomeruli and perivascular regions (yellow dotted lines).
Click the image to see the enlarged image.














