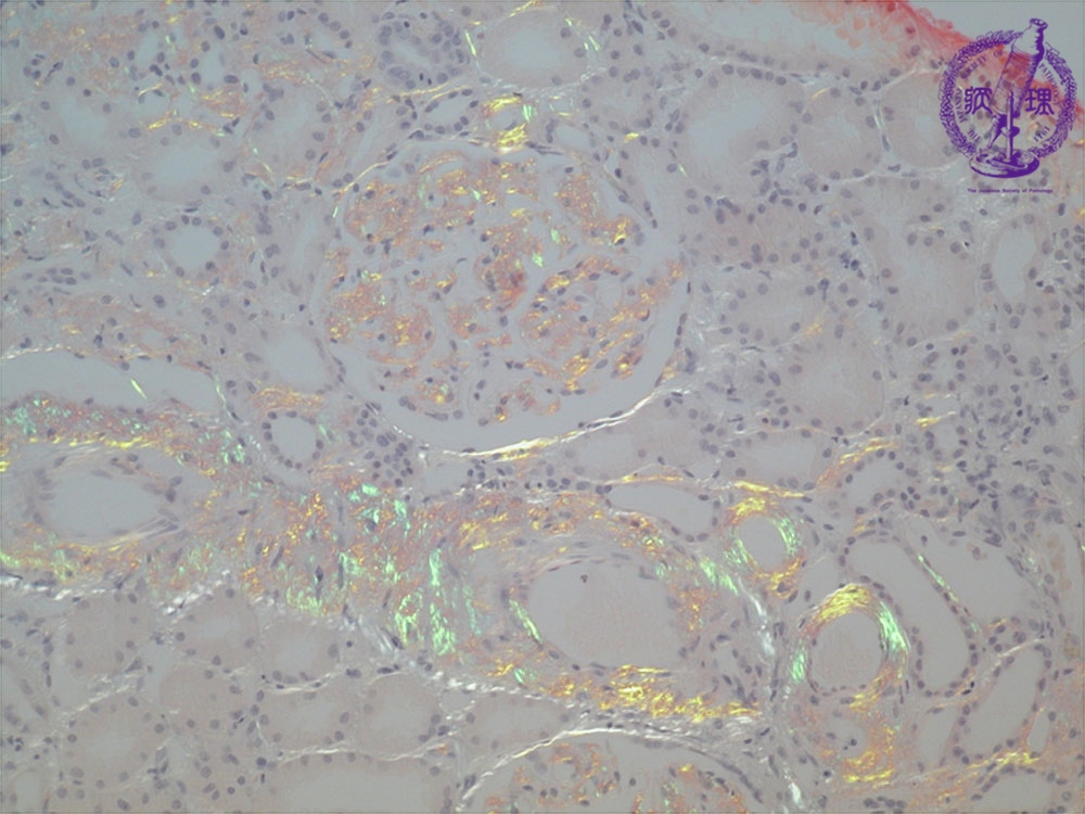
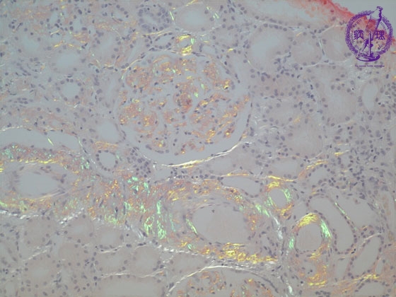
Microscopic findings ( Congo red, middle power view): Amyloid reveals apple green birefringence under polarized light.

Click the image to see the enlarged image.

  • There is no guidance by arrows.