- 12.Kidney and Urinary System
- ★(15)Renal amyloidosis
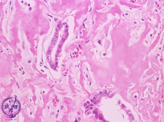
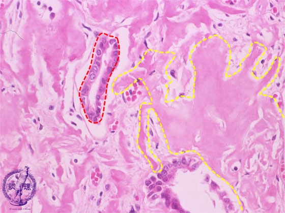
Microscopic findings ( HE, high power view): Amyloid deposit (yellow dotted line) is also noted in the stroma with tubular atrophy (red dotted line).
Click the image to see the enlarged image.
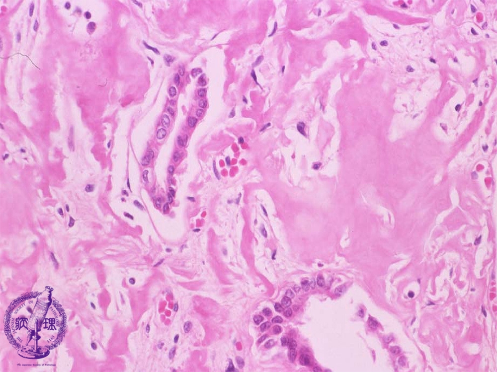
Microscopic findings ( HE, high power view): Amyloid deposit (yellow dotted line) is also noted in the stroma with tubular atrophy (red dotted line).
Click the image to see the enlarged image.