- 12.Kidney and Urinary System
- ★(15)Renal amyloidosis
Microscopic findings ( Congo red, middle power view): Amyloid is (yellow dotted lines) stained orange color with Congo red stain.
Click the image to see the enlarged image.
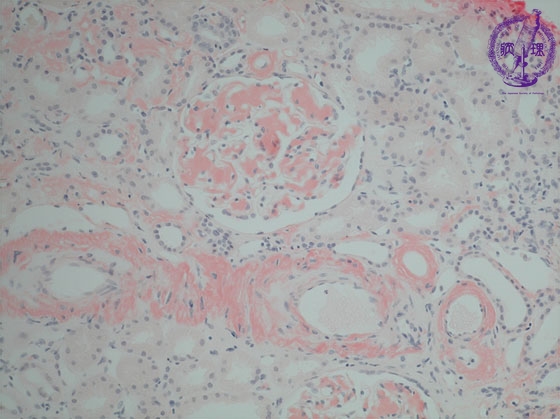
Microscopic findings ( Congo red, middle power view): Amyloid is (yellow dotted lines) stained orange color with Congo red stain.
Click the image to see the enlarged image.