- 12.Kidney and Urinary System
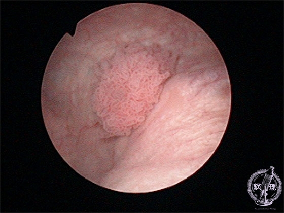
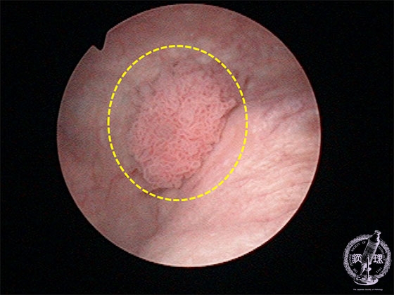
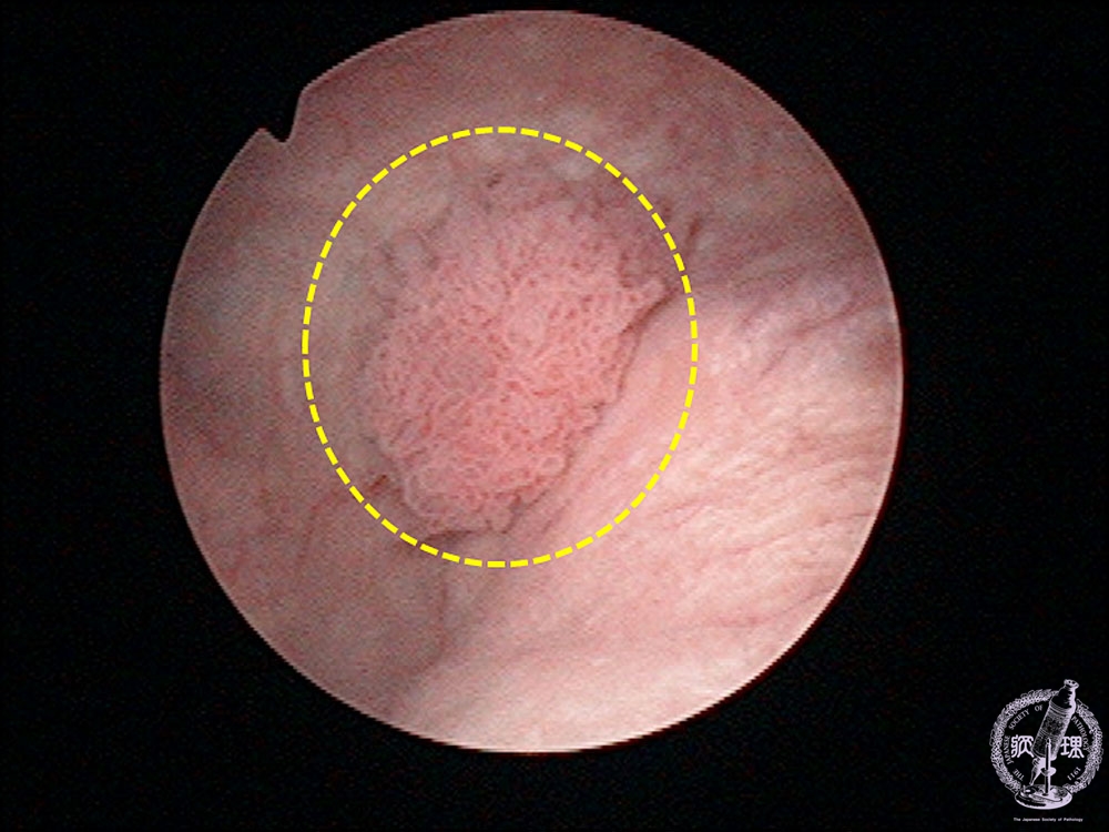
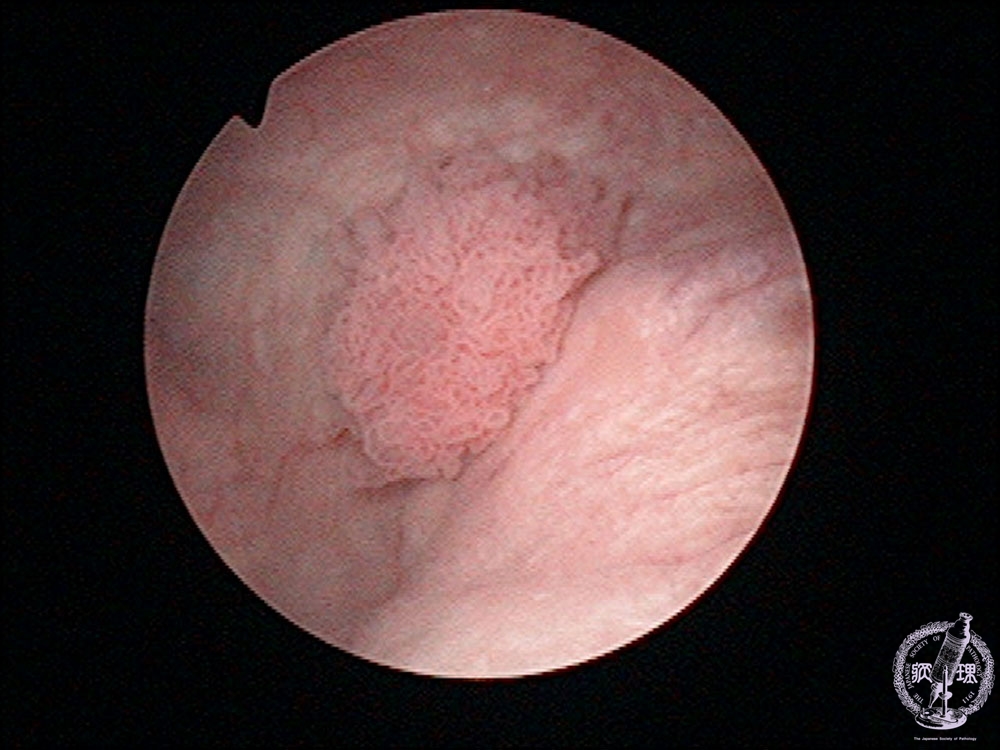
- ★(20)Urothelial carcinoma (transitional cell carcinoma)
Gross findings: The cystoscopy revealed a papillary urothelial (transitional cell) carcinoma (encircled by a yellow dotted line).
Click the image to see the enlarged image.














