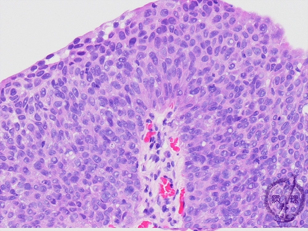
Microscopic findings (HE, high power view): G3, Cancer cells show a high cellularity with high nucleocytoplasmic ratio and hyperchromatism.

Click the image to see the enlarged image.

  • There is no guidance by arrows.