- 12.Kidney and Urinary System
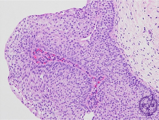
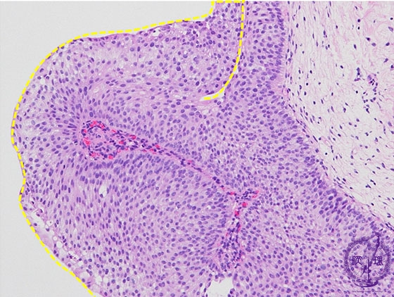
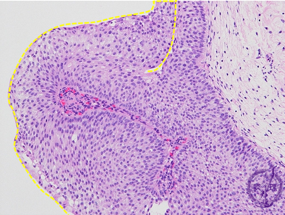
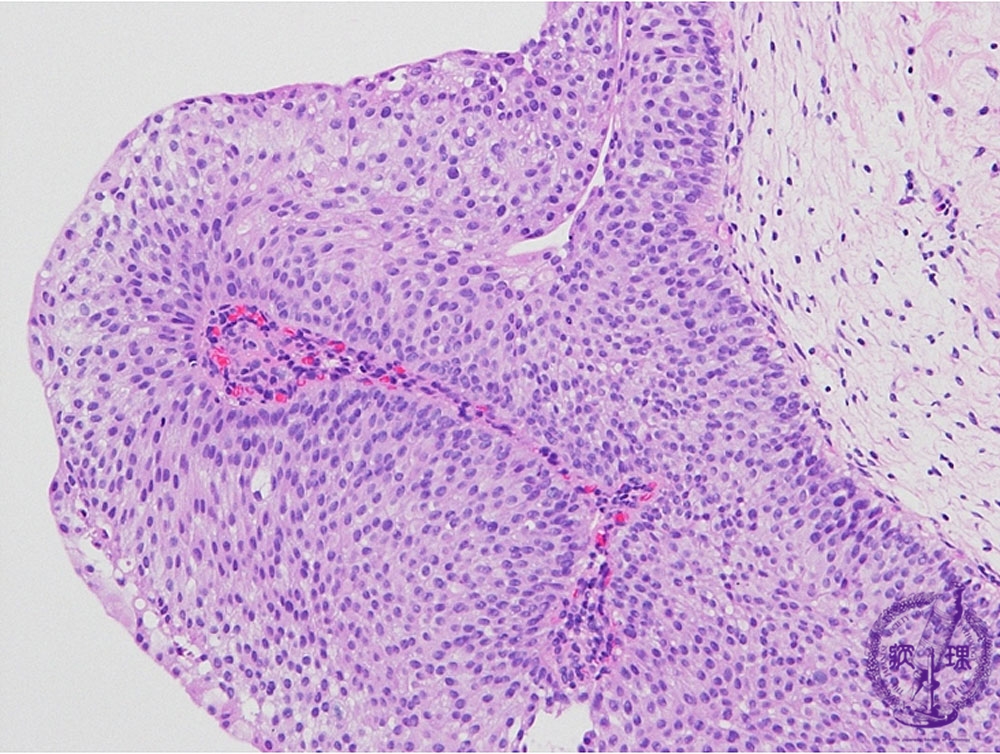
- ★(20)Urothelial carcinoma (transitional cell carcinoma)
Microscopic findings (HE, intermediate power view): Although most of urothelial carcinoma shows a exophytic papillary growth (yellow dotted line), some cases show inverted proliferation. According to the nuclear atypism, urothelial carcinoma is classified into three grades; Grade 1 (low grade), Grade 3 (high grade). In Grade 1 case, the neoplastic urothelial cells present a multilayered growth exceeding seven layers.
Click the image to see the enlarged image.














