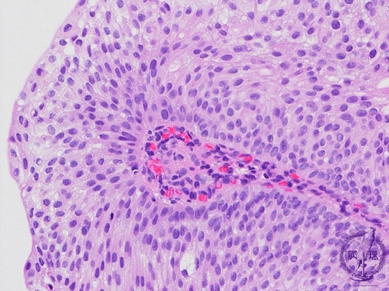
Microscopic findings (HE, high power view): G1, The neoplastic epithelial cells shows multilayered pattern more than seven.

Click the image to see the enlarged image.

  • There is no guidance by arrows.