- 13.Endocrine
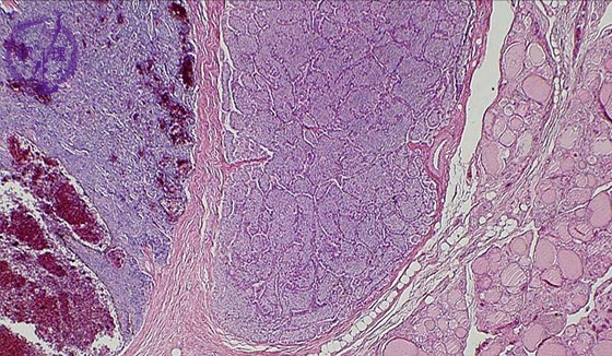
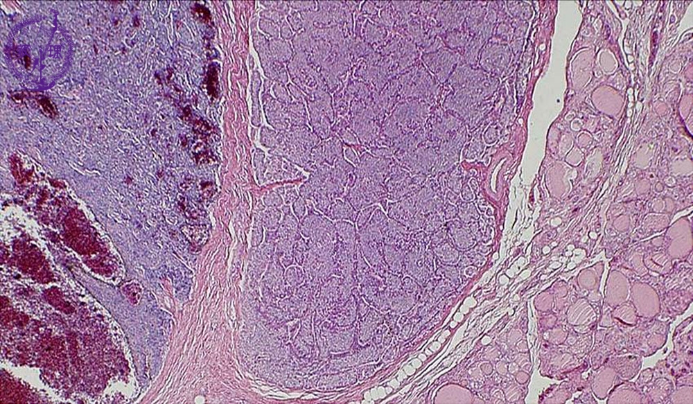
- (2)secondary hyperparathyroidism
Microscopic findings (HE stain, low power view). Secondary parathyroid hyperplasia. The parathyroid gland was is enlarged with decreased adipose tissue components. Cystic change and hemorrhage were are also detected in the photomicrograph.
Click the image to see the enlarged image.















