- 13.Endocrine
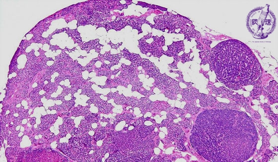
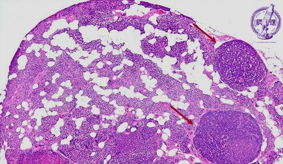
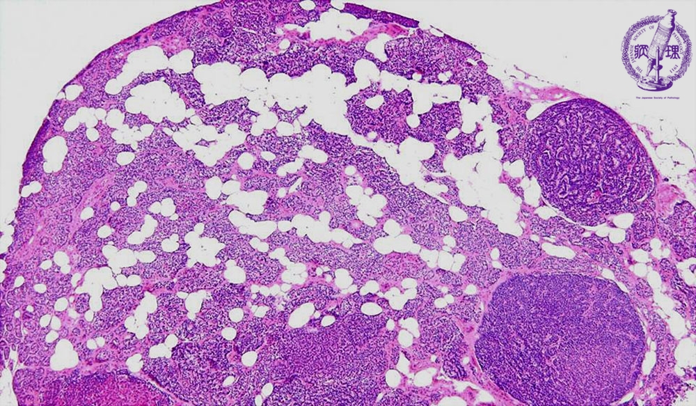
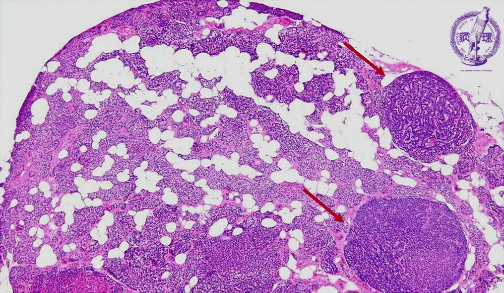
- (2)secondary hyperparathyroidism
Microscopic findings (HE stain, low power view). Secondary parathyroid hyperplasia in a patient on long-term hemodialysis. Multiple micro-nodules (arrows) and adipose tissue are apparent in the enlarged parathyroid gland.
Click the image to see the enlarged image.















