- 13.Endocrine
- (2)Parathyroid adenoma (MEN)
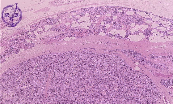
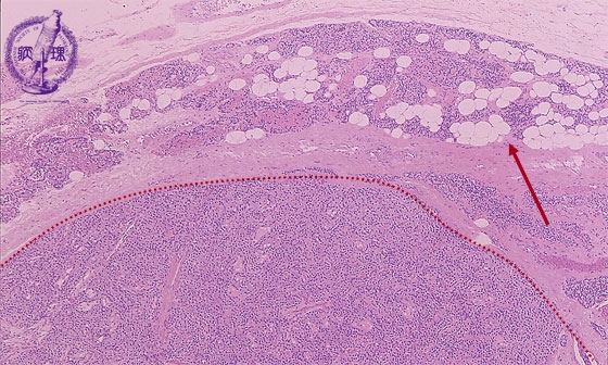
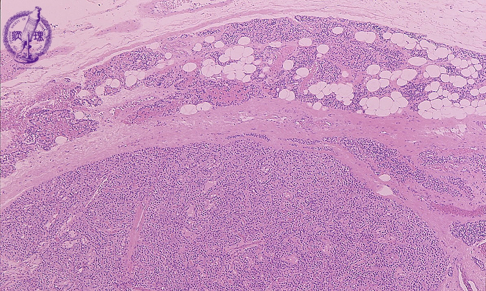
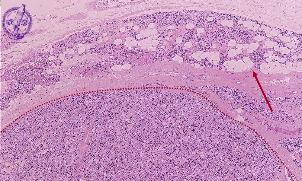
Microscopic findings (HE stain, low power view). Parathyroid adenoma. A fibrous capsule was detected around the tumor (deliminated with a dotted line). Stromal adipose cells are absent in the tumor, while non-neoplastic parathyroid tissue (arrow) contained adipose tissue components.
Click the image to see the enlarged image.















