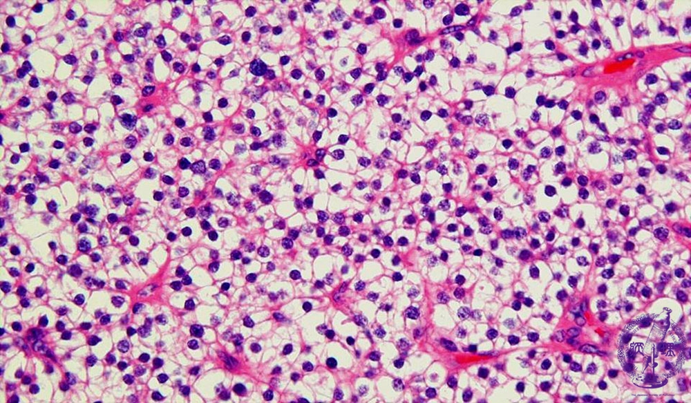
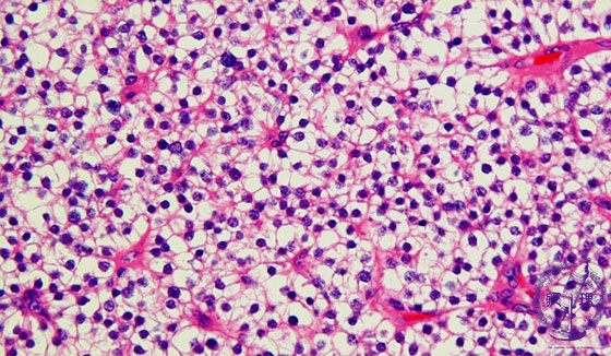
Microscopic findings (HE stain, high power view). Chief cell adenoma of the parathyroid. The tumor cells with a clear cytoplasm proliferated in a uniform fashion. This proliferation is associated with the intratumoral blood vessels.

Click the image to see the enlarged image.

  • There is no guidance by arrows.