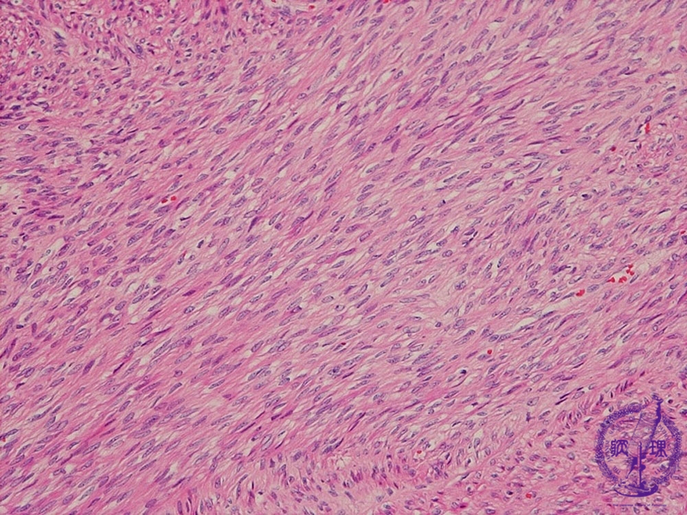
Histology (HE stain, intermediate power): Smooth muscle-like spindle tumor cells formed in an intricate fascicle pattern.

Click the image to see the enlarged image.

  • There is no guidance by arrows.