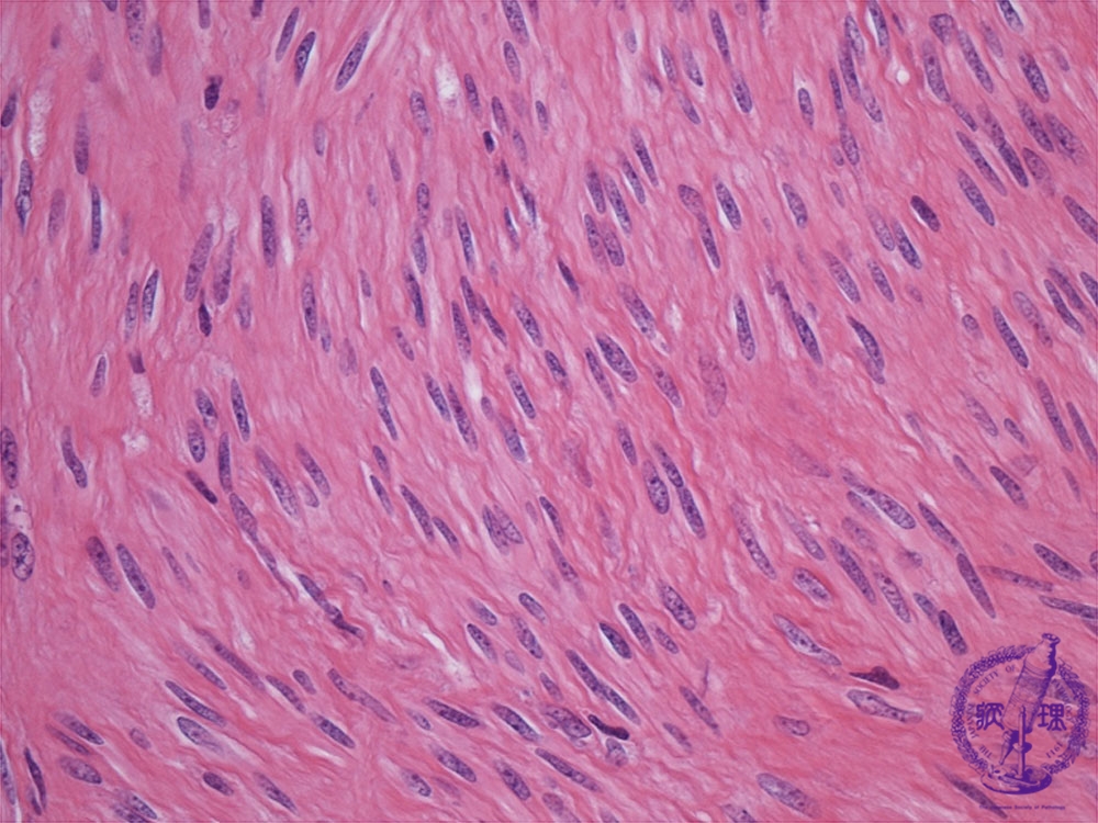
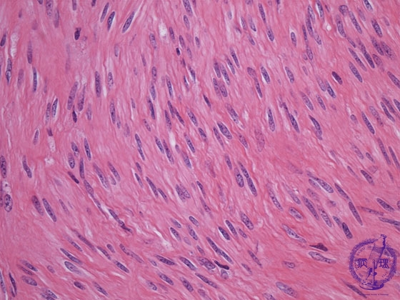
Histology (HE stain, high power): The tumor nuclei are long and ellipsoid (cigar-like). No mitotic figure or coagulation necrosis are identified.

Click the image to see the enlarged image.

  • There is no guidance by arrows.