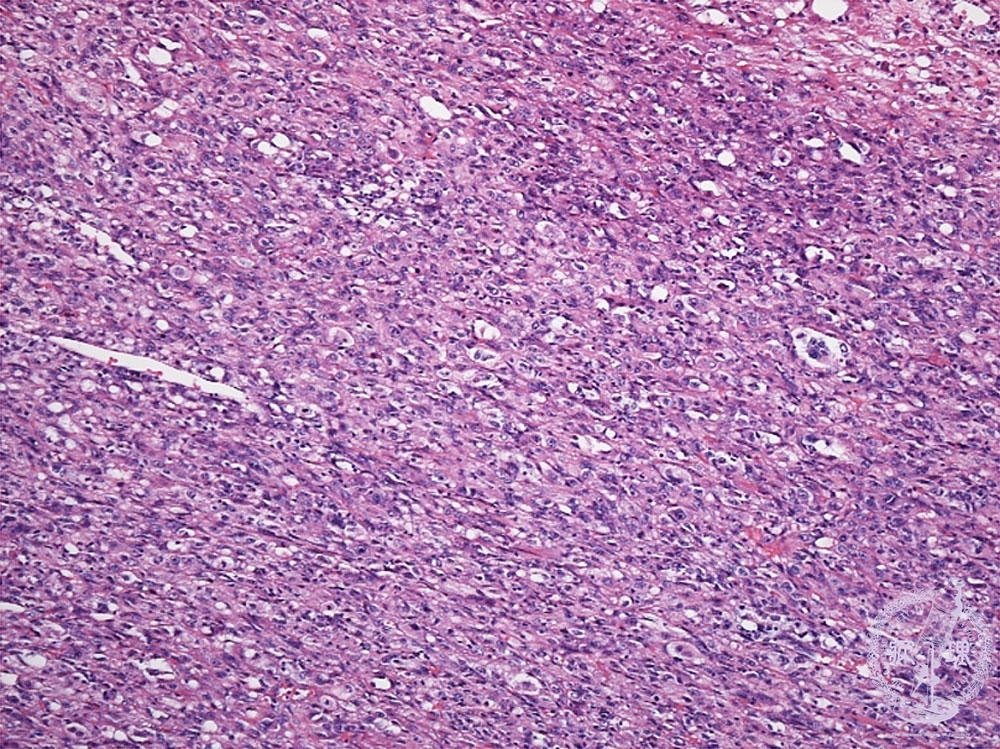
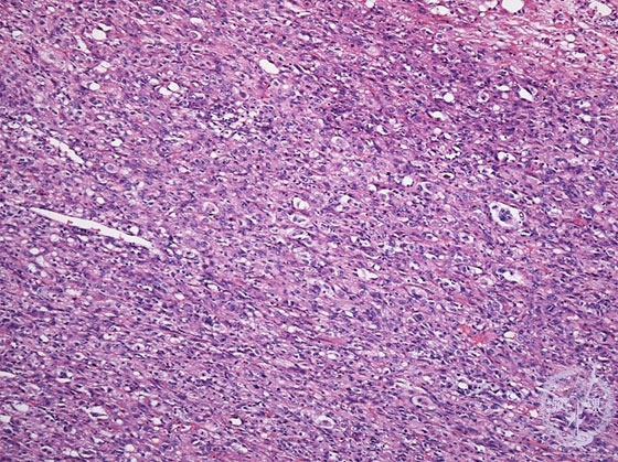
Histology (HE stain, low power): Spindle-shaped tumor cells with oval nuclei that proliferate in a solid fashion.

Click the image to see the enlarged image.

  • There is no guidance by arrows.