- 15.Female genital organs
- ★(3)leiomyosarcoma
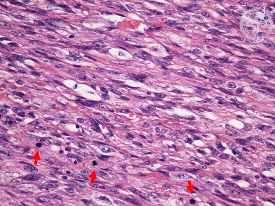
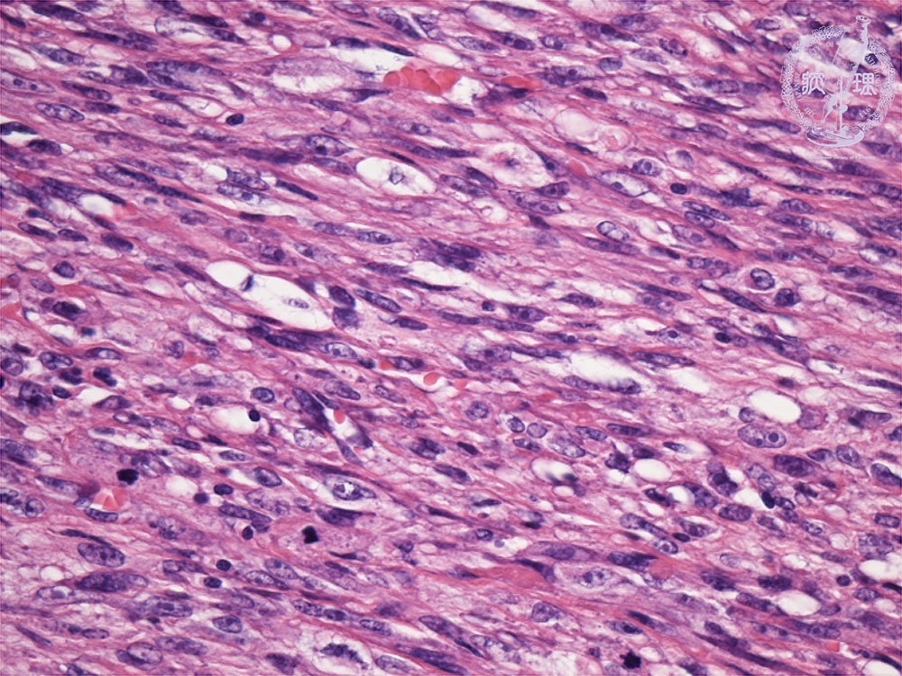
Histology (HE stain, high power): Higher nuclear density, larger nuclei, more irregular nuclei and mitotic figures compared to leiomyoma,
Click the image to see the enlarged image.
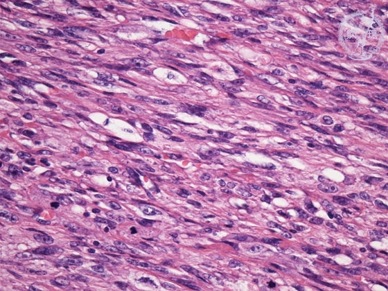
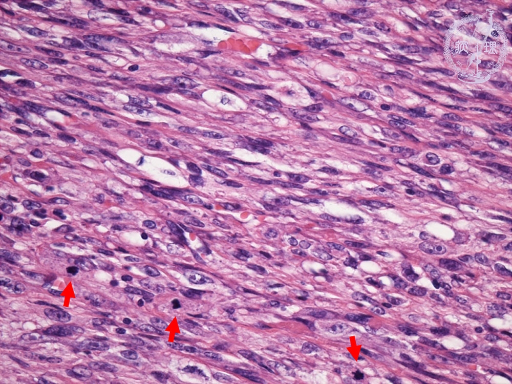
Histology (HE stain, high power): Higher nuclear density, larger nuclei, more irregular nuclei and mitotic figures compared to leiomyoma,
Click the image to see the enlarged image.