- 15.Female genital organs
- (6)Serous cystadenoma
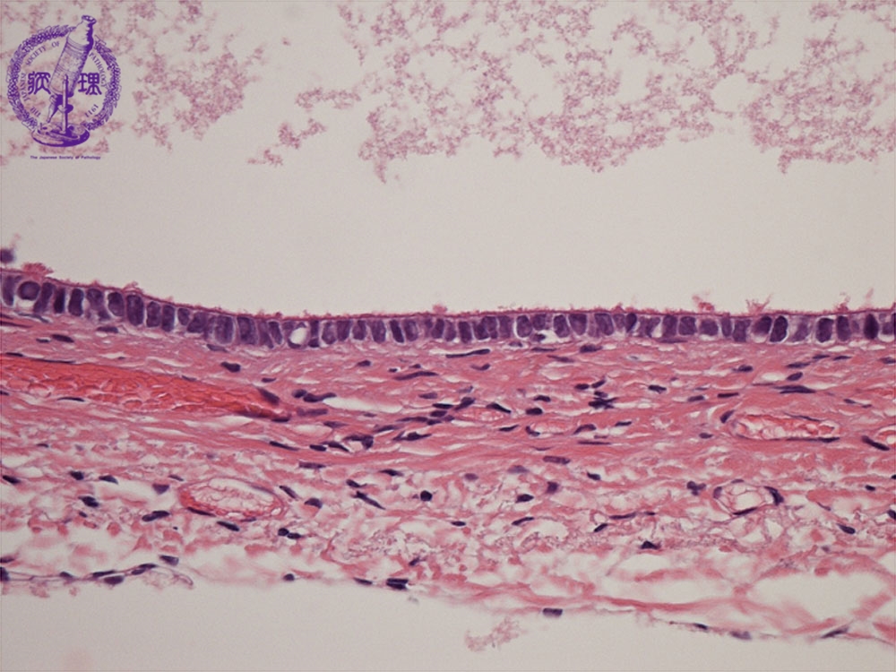
Histology (HE stain, high power): Serous cystadenoma of the ovary. Single layer of ciliated columnar cells (yellow dotted line) in inner surface of cyst.
Click the image to see the enlarged image.
Histology (HE stain, high power): Serous cystadenoma of the ovary. Single layer of ciliated columnar cells (yellow dotted line) in inner surface of cyst.
Click the image to see the enlarged image.