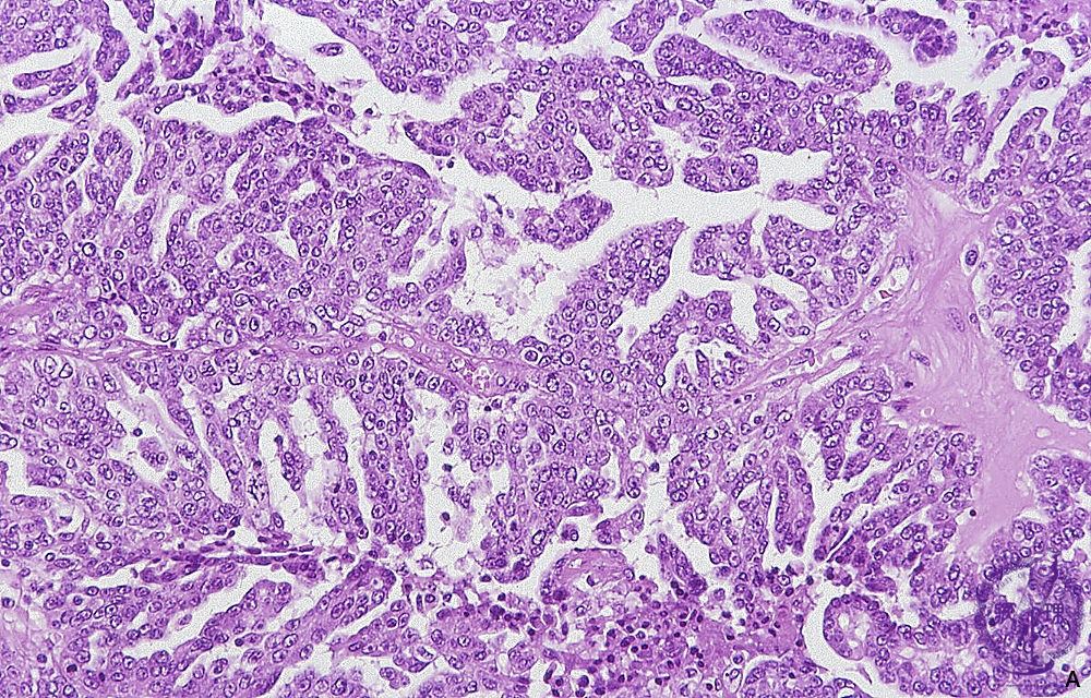
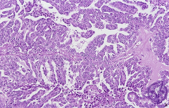
Histology (HE stain, intermediate power): Serous cystadenocarcinoma of the ovary. Small cuboidal carcinoma cells demonstrated papillary proliferation.

Click the image to see the enlarged image.

  • There is no guidance by arrows.