- 15.Female genital organs
- (6)Serous adenocarcinoma of the ovary
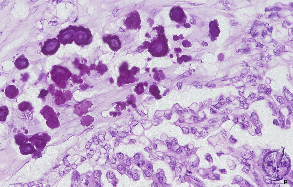
Histology (HE stain, high power): Serous cystadenocarcinoma of the ovary. Calcium deposition called psammoma body can sometimes be identified.
Click the image to see the enlarged image.
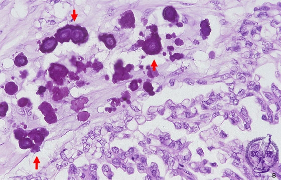
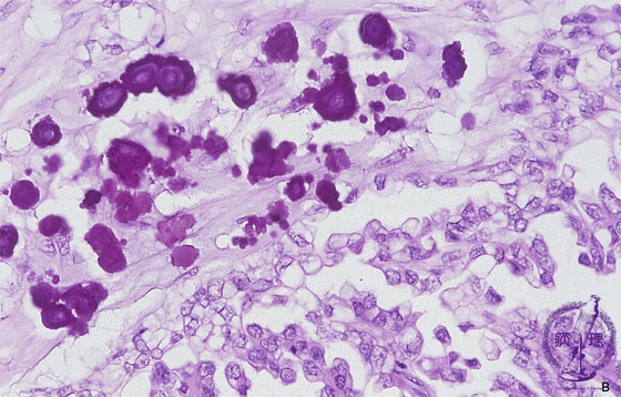
Histology (HE stain, high power): Serous cystadenocarcinoma of the ovary. Calcium deposition called psammoma body can sometimes be identified.
Click the image to see the enlarged image.