- 15.Female genital organs
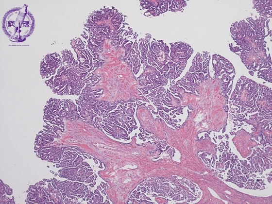
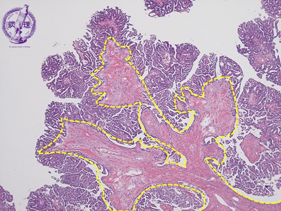
- (6)Serous adenocarcinoma of the ovary
Histology (HE stain, low power): Serous cystadenocarcinoma of the ovary. Small cuboidal carcinoma cells demonstrated papillary growth with fibrous stroma (yellow dotted line)
Click the image to see the enlarged image.

















