- 19.Bone, Joint
- ★(2)Rheumatoid arthritis
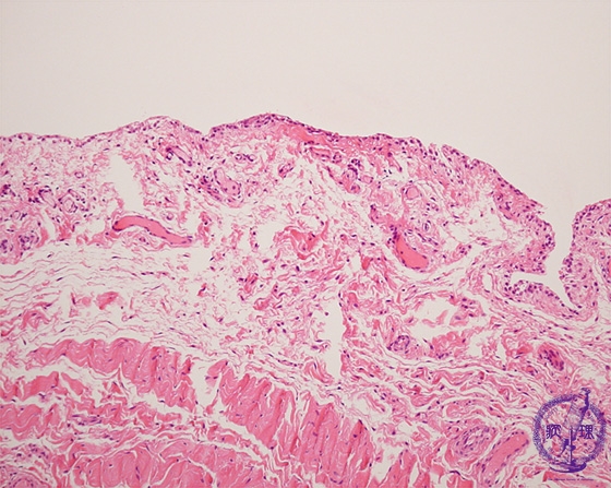
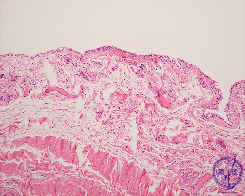
Microscopic view (HE; low power view): Normal synovial tissue without inflammatory change. Surface is relatively smooth, and monolayer of synovial cell lining. Underlying inflammatory cell infiltration is scant.
Click the image to see the enlarged image.














