- 19.Bone, Joint
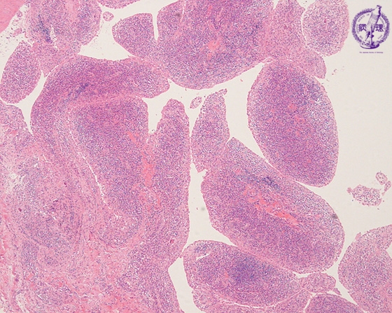
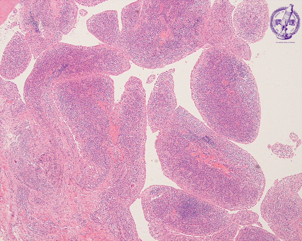
- ★(2)Rheumatoid arthritis
Microscopic view (HE; low power view): Chronic active inflammation of synovium: Villous proliferation and inflammatory cell infiltration with lymphoid follicles are seen.Compare to normal synovial tissue.
Click the image to see the enlarged image.














