- 19.Bone, Joint
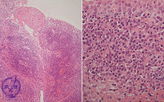
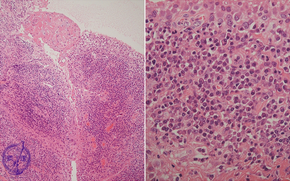
- ★(2)Rheumatoid arthritis
Microscopic view (HE; left-middle power view, right-high power view): Proliferation of stratified synovial cells and fibrin deposits on the surface. Among inflammatory cells, plasma cells are prominent.
Click the image to see the enlarged image.














