- 19.Bone, Joint
- ★(2)Rheumatoid arthritis
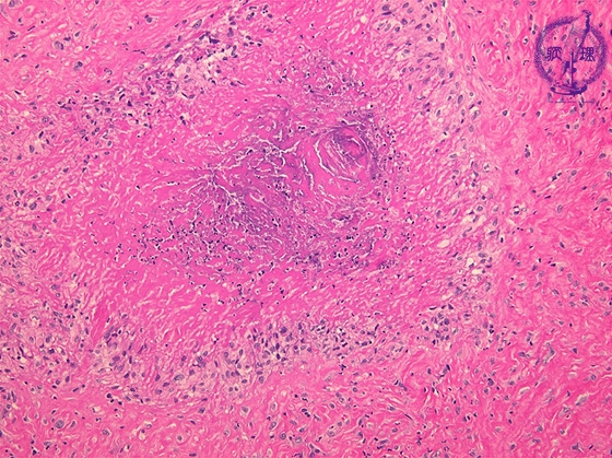
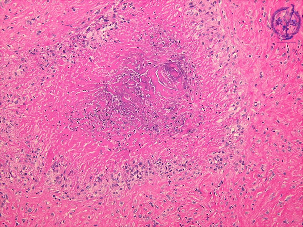
Microscopic view (HE; middle power view): Histology of rheumatoid nodules. These frequently occur at the subcutaneous tissue of extensor of elbow and knee, and the joint of hand, foot and fingers. Epithelioid cells are arranged at palisaded or radicular manner, and surrounding central necrosis.
Click the image to see the enlarged image.














