- 20.Skin
- ★(8)Squamous cell carcinoma(Bowen disease)
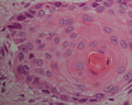
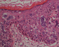
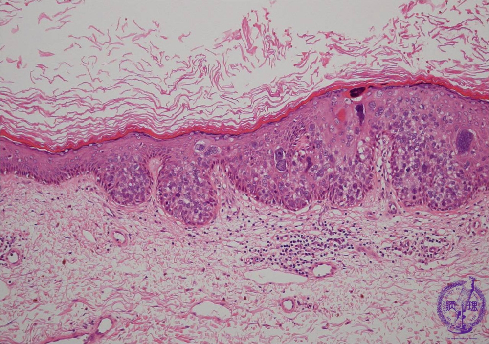
Microscopic findings: Bowen’s disease is one of the intraepidermal squamous cell carcinoma. It sometimes occurs with other internal malignancies.
Click the image to see the enlarged image.
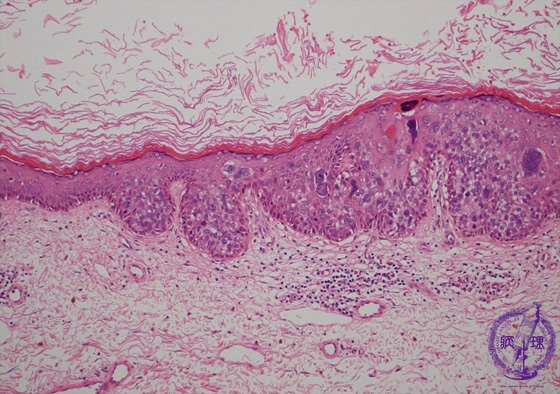
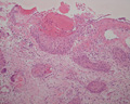
Microscopic findings: Bowen’s disease is one of the intraepidermal squamous cell carcinoma. It sometimes occurs with other internal malignancies.
Click the image to see the enlarged image.