- 20.Skin
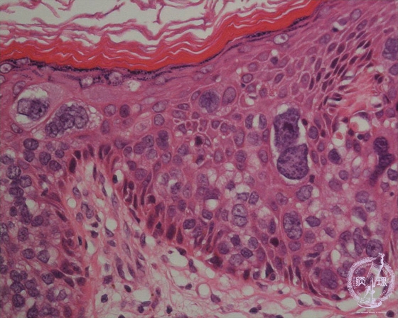
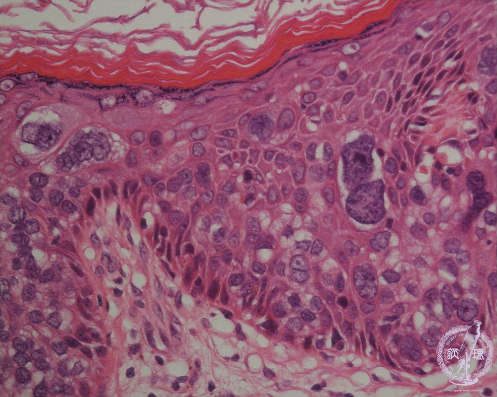
- ★(8)Squamous cell carcinoma (Bowen’s disease as an intraepidermal lesion)
Microscopic findings: Multinucleated cells (Clumping cell) and dyskeratotic cells are characteristic. Tumor cells proliferate in almost all layer of the epidermis, but basal layers are retained.
Click the image to see the enlarged image.














