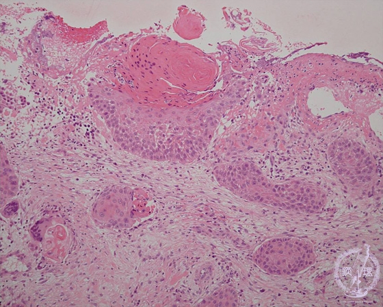
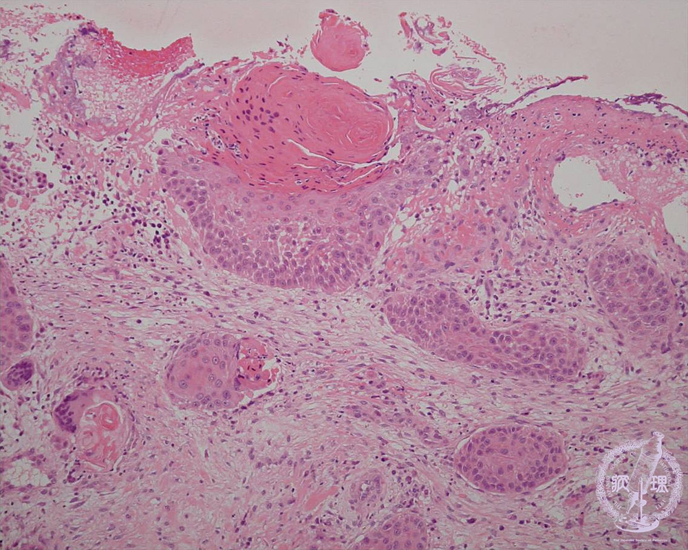
• 20.Skin
  • š(8)Squamous cell carcinoma(invasive)

Squamous cell carcinomas arise from squamous cells of the skin. In this case, the tumor shows dermal invasion.

Click the image to see the enlarged image.

  • There is no guidance by arrows.