- 20.Skin
- ★(8)Squamous cell carcinoma
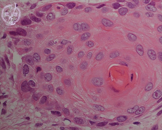
Keratinization and intercellular bridge are characteristic of squamous cell carcinomas. Keratinization is sometimes appears like a cut-surface of an onion (cancer pearl).
Click the image to see the enlarged image.
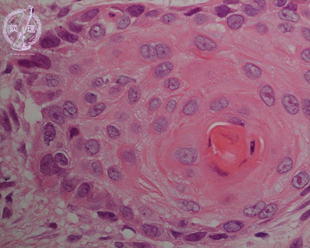
Keratinization and intercellular bridge are characteristic of squamous cell carcinomas. Keratinization is sometimes appears like a cut-surface of an onion (cancer pearl).
Click the image to see the enlarged image.