- 20.Skin
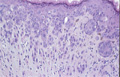
- (9)Extramammary Paget’s disease
Macroscopic findings: Among Japanese patients, the tumor affects more frequently men with a male to female ratio of between 2:1 to 3:1. Most commonly the tumor spreads from the genital area (in the illustrated case vaginal lip) to the surrounding skin (in the illustrated case pubic mound). In its structure it resembles the mammary gland.
Click the image to see the enlarged image.














