• 20.Skin
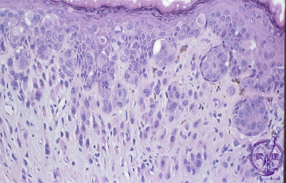
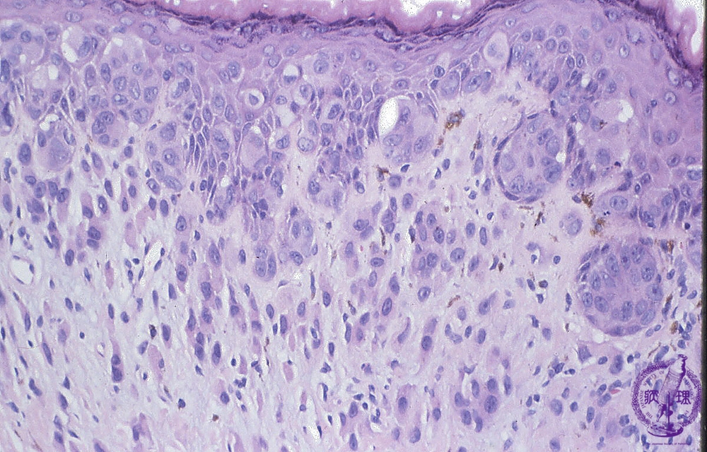
  • (9)Extramammary Pagetfs disease

Microscopic findings: Paget cells spread within the epidermis and epithelium of the sweat ducts. Some Paget cells also invade the dermis.

Click the image to see the enlarged image.

  • There is no guidance by arrows.