• 20.Skin
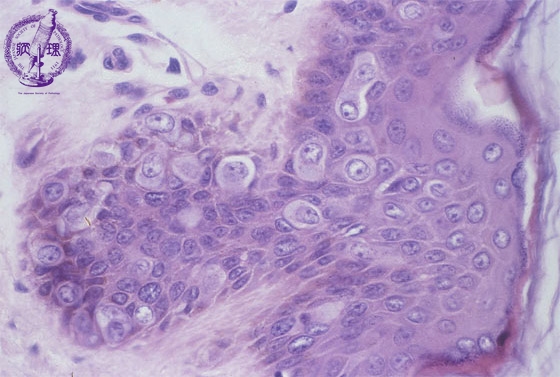
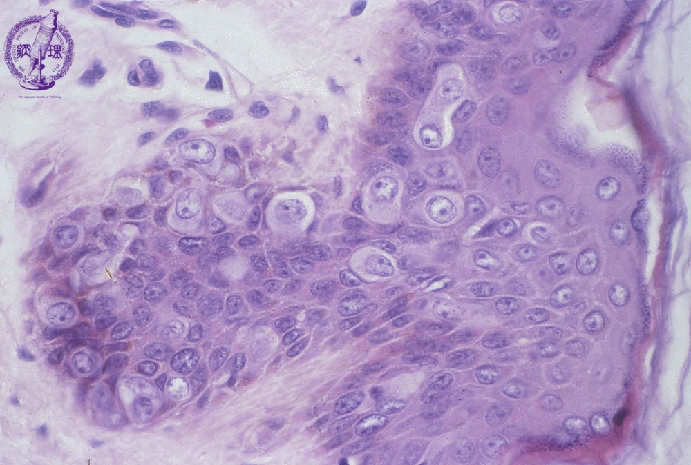
  • (9)Extramammary Pagetfs disease

Paget cells have abundant eosinophilic or clear cytoplasm. Sometimes they need to be differentiated from tumor cells of malignant melanoma or Bowenfs disease.

Click the image to see the enlarged image.

  • There is no guidance by arrows.