• 20.Skin
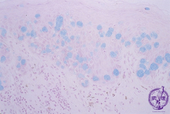
  • (9)Extramammary Pagetfs disease

(Alcian Blue staining): Paget cells have mucopolysaccharides and show positive cytoplasmic staining for alcian blue stain and/or PAS stain.

Click the image to see the enlarged image.

  • There is no guidance by arrows.