- 5.Lung, Pleura
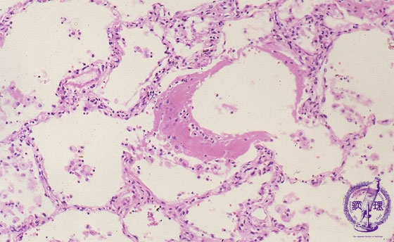
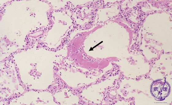
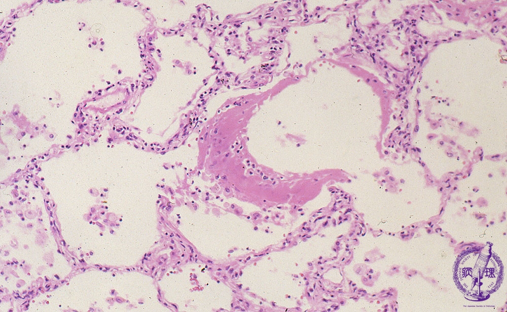
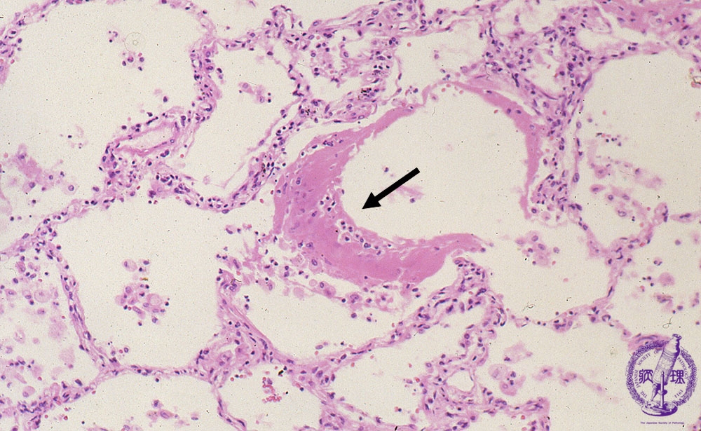
- (12)Interstitial pneumonia(diffuse alveolar damage (DAD) / acute interstitial pneumonia (AIP))
Microscopic view (HE stain, Middle-power-view): Hyaline membrane (arrow) is seen forming along the alveolar surface consistent with the exudative phase.
Click the image to see the enlarged image.


















