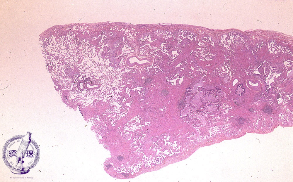
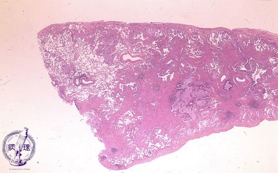
• 5.Lung, Pleura
  • (12)Interstitial pneumonia(usual interstitial pneumonia (UIP))

Microscopic view (HE stain, loupe): Lung VATS (Video Assisted Thorascopic Surgery) biopsy. Normal and fibrotic areas are intermingled.

Click the image to see the enlarged image.

  • There is no guidance by arrows.