• 5.Lung, Pleura
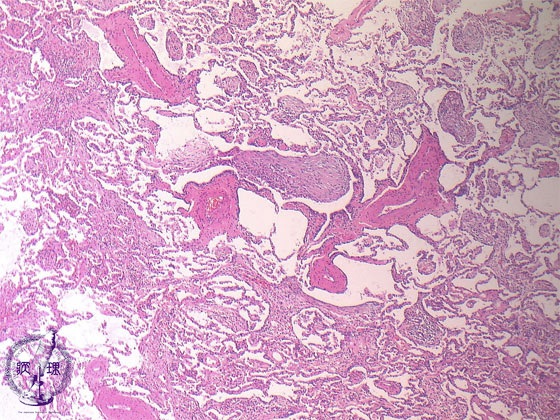
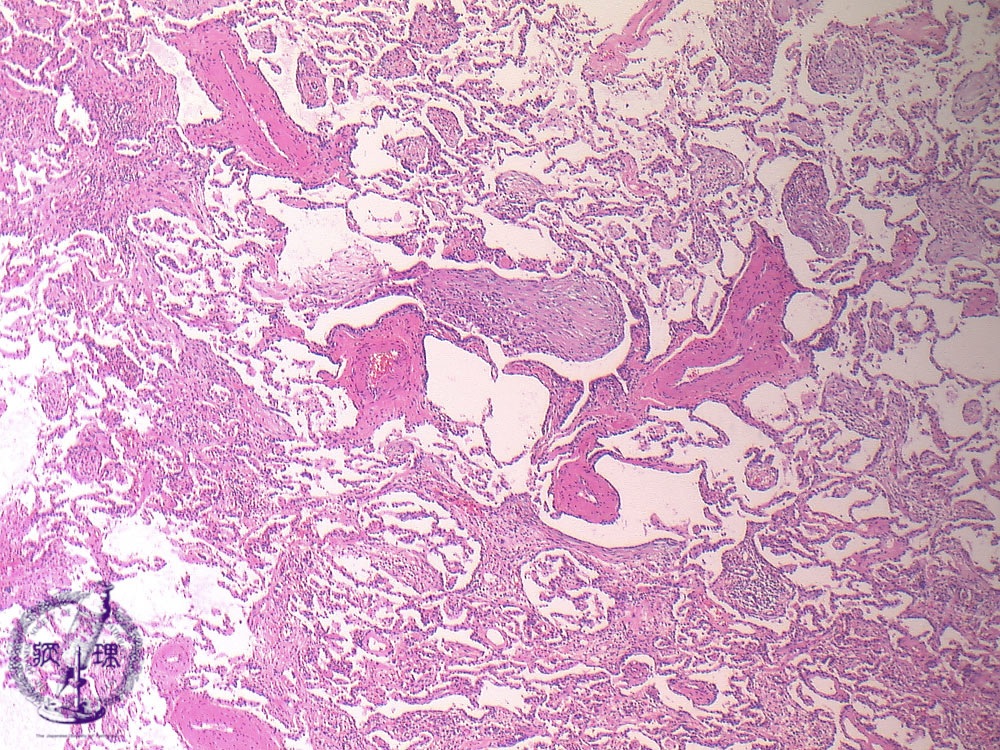
  • (12)Interstitial pneumonia(cryptogenic organizing pneumonia (COP)/ Bronchiolitis obliterans organizing pneumonia (BOOP))

Microscopic view (HE stain, low power view): Polypoid granulation tissue fills alveolar ducts and spaces. Lymphocytes are seen infiltrating the interalveolar septum and surrounding bronchioles.

Click the image to see the enlarged image.

  • There is no guidance by arrows.