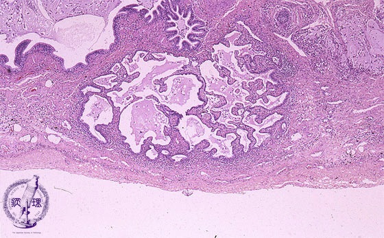
Microscopic views (HE stain, low power view): Honeycomb lesion.

Click the image to see the enlarged image.

  • There is no guidance by arrows.